
Uma professora de uma creche municipal em Guarujá, litoral de São Paulo, foi demitida após causar uma luxação no braço esquerdo de uma criança de três anos. A Polícia Civil apurou que o ferimento ocorreu após a educadora puxar o braço do menino com força.
O episódio foi registrado pelas câmeras de segurança do Núcleo de Educação Infantil Conveniado (Neic) Espírita Cristã Maria de Nazaré e está sendo investigado pela Delegacia Sede de Guarujá, com acompanhamento do Conselho Tutelar.
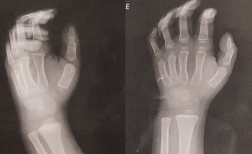
A família percebeu o machucado ao buscar o menino no dia 28 de maio e o levou imediatamente a uma Unidade de Pronto Atendimento (UPA), onde exames confirmaram o deslocamento do osso.
A administração municipal afirmou que tomou providências imediatas para garantir a segurança da criança e afastou a profissional do cargo.