
Mundo – Um homem de 48 anos, da Indonésia, precisou passar por uma cirurgia após enfiar uma chave para retirar chip de celular, um cabo elétrico e um elástico no próprio pênis.
O paciente esperou seis meses antes de procurar atendimento médico e só buscou ajuda após começar a sentir muita dificuldade para urinar. Segundo o relato de caso publicado na revista médica Radiology Case Reports, apesar da atitude surpreendente, ele não tinha diagnóstico de problema mental.
“Ele negou qualquer histórico de auto-inserção de objetos estranhos”, escreveram os médicos do Hospital Geral-Académico Dr. Soetomo, que o atenderam.
Os exames de sangue e urina mostraram que o paciente desenvolveu uma insuficiência renal e uma infecção do trato urinário.
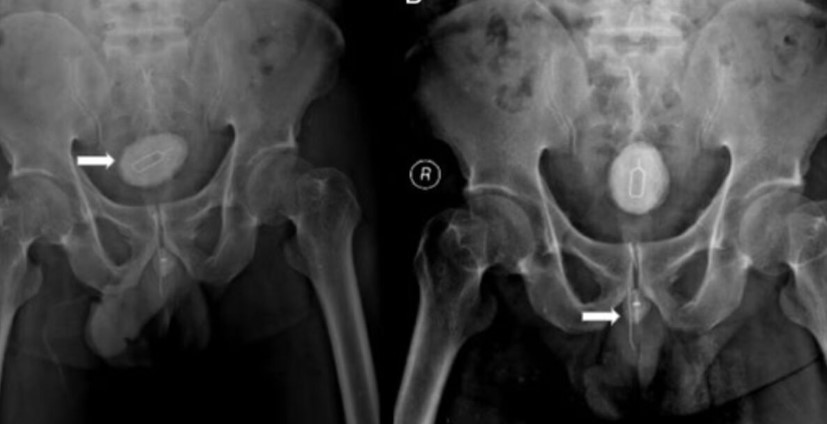
A radiografia da pelve do paciente mostrou um objeto opaco e uma “sombra” semelhante a um fio. Os médicos disseram que o objeto de metal levou o corpo a desenvolver uma espécie de pedra na bexiga do paciente.
A pedra chegou a medir 5×3 cm e foi retirada do corpo durante a cirurgia. O paciente também tinha um cabo elétrico de 10 cm e uma agulha de 8 cm amarrada com um elástico dentro do corpo, que também foram removidos.
Posteriormente, tomografias computadorizadas confirmaram que seu ureter estava aumentado e ele tinha hidronefrose, quando um ou ambos os rins ficam distendidos e inchados porque a urina não consegue ser esvaziada.
Transtorno
Após o ocorrido, os psiquiatras diagnosticaram o homem com um transtorno de adaptação, uma reação emocional a um evento estressante ou a uma mudança de vida. Porém, não explicaram qual foi a causa.
A equipe médica prescreveu antipsicóticos para o paciente, esses medicamentos controlam os sintomas de problemas de saúde mental, como a esquizofrenia e o transtorno bipolar.
O homem não sofreu danos permanentes e pode urinar normalmente novamente apenas uma semana depois do procedimento. Ele voltou para uma consulta de acompanhamento seis semanas depois e disse aos médicos que não tinha ficado com sequelas.
Fonte: Metrópoles


